Before & After

Dr. Boyarskiy did an excellent job and I am confident whenever I smile!
— Nick
stock-photo-woman-wear-brace-and-show-thumb-up-on-the-blue-background-1039572301 copy.jpg
 

This 23-year-old patient was unhappy with her open bite and flaring of her anterior teeth. We treated her with Invisalign® in only 11 months!

 
 
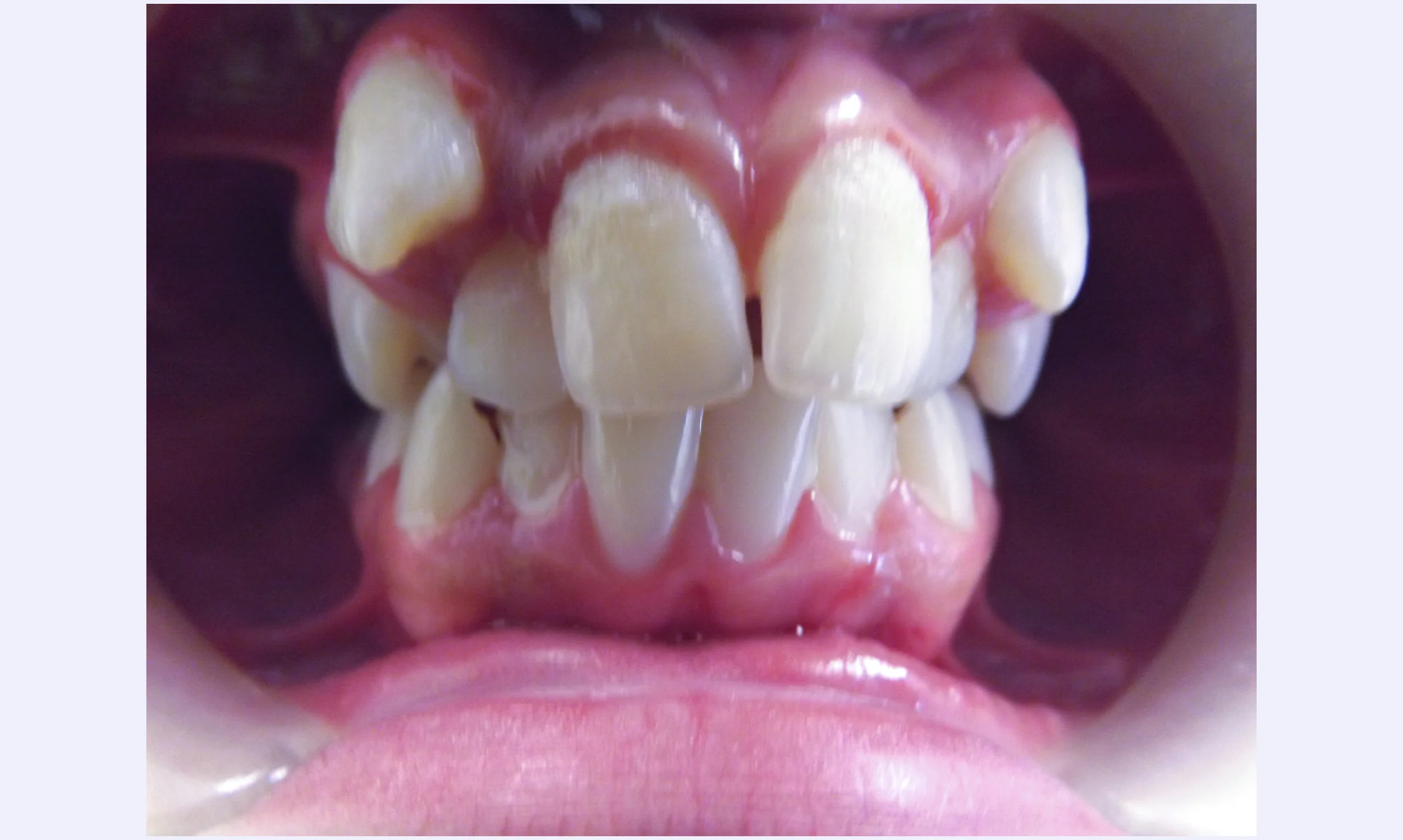
Before1.jpg
after1.jpg
 
 

 

This 23-year-old patient was unhappy with her open bite and flaring of her anterior teeth. We treated her with Invisalign® in only 11 months!

has I.jpg
has.jpg
 

This 23-year-old patient was unhappy with her open bite and flaring of her anterior teeth. We treated her with Invisalign® in only 11 months!

jac I.jpg
jac.jpg

This 23-year-old patient was unhappy with her open bite and flaring of her anterior teeth. We treated her with Invisalign® in only 11 months!

joh I.jpg
joh.jpg

This 23-year-old patient was unhappy with her open bite and flaring of her anterior teeth. We treated her with Invisalign® in only 11 months!

kap I.jpg
kap.jpg

This 23-year-old patient was unhappy with her open bite and flaring of her anterior teeth. We treated her with Invisalign® in only 11 months!

kle I.jpg

This 23-year-old patient was unhappy with her open bite and flaring of her anterior teeth. We treated her with Invisalign® in only 11 months!

lel I.jpg

This 23-year-old patient was unhappy with her open bite and flaring of her anterior teeth. We treated her with Invisalign® in only 11 months!

mil I.jpg

This 23-year-old patient was unhappy with her open bite and flaring of her anterior teeth. We treated her with Invisalign® in only 11 months!


This 23-year-old patient was unhappy with her open bite and flaring of her anterior teeth. We treated her with Invisalign® in only 11 months!


This 23-year-old patient was unhappy with her open bite and flaring of her anterior teeth. We treated her with Invisalign® in only 11 months!


This 23-year-old patient was unhappy with her open bite and flaring of her anterior teeth. We treated her with Invisalign® in only 11 months!


This 23-year-old patient was unhappy with her open bite and flaring of her anterior teeth. We treated her with Invisalign® in only 11 months!


This 23-year-old patient was unhappy with her open bite and flaring of her anterior teeth. We treated her with Invisalign® in only 11 months!


This 23-year-old patient was unhappy with her open bite and flaring of her anterior teeth. We treated her with Invisalign® in only 11 months!

zla.jpg

This 23-year-old patient was unhappy with her open bite and flaring of her anterior teeth. We treated her with Invisalign® in only 11 months!

zvi I.jpg